به سایت تجهیزات دندانسازی ملکی خوش آمدید!

توضیحات عکس

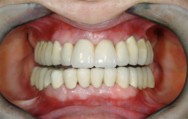
لبخند زیبا و جذاب با جادوی بریج دندان

بریج دندان، بریج‌های مریلند

بریج دندان از روش‌های مرسوم دندانپزشکی است که برای پر کردن فضای خالی ناشی از فقدان دندان‌ها استفاده می‌شود و محبوبیت بالایی در میان بیماران، دندانپزشکان و لابراتوارهای دندانسازی دارد.

بریج دندان نوعی پروتز ثابت است که برای جایگزینی یک یا چند دندان از‌دست‌رفته استفاده می‌شود. این پروتز شامل دو یا چند روکش است که به دندان‌های مجاور دندان ازدست‌رفته متصل می‌شوند و یک دندان‌مصنوعی (پونتیک) را در میانشان نگه می‌دارند. بریج‌ها از طریق تاج‌هایی که به دندان‌های سالم مجاور متصل می‌شوند، به دندان‌های ازدست‌رفته تکیه می‌کنند.

 

در این مقاله از ملکی دنتال با انواع بریج دندان آشنا خواهیم شد و به بررسی مراحل کاشت این پروتزهای دندانی می‌پردازیم. در ادامه، مزایا و معایب بریج دندان و تفاوت‌های آن با ایمپلنت را شرح خواهیم داد. لطفاً تا انتهای این مقاله همراه ما باشید:

 

انواع بریج دندان:

بریج‌های دندانی در انواع متنوع و جنس‌های گوناگونی مانند: سرامیک، فلز و رزین کامپوزیت موجود می‌باشند تا افراد بتوانند بهترین گزینه را باتوجه‌به نیاز و سلیقه خویش انتخاب کنند. در ادامه انواع مختلف این پروتزهای دندانی را معرفی خواهیم کرد:

 

لبخند زیبا و جذاب با جادوی بریج دندان
لبخند زیبا و جذاب با جادوی بریج دندان

 

  • بریج‌های سنتی:

بریج‌های دندانی سنتی، یکی از روش‌های رایج برای جایگزینی دندان‌های ازدست‌رفته هستند. این بریج‌ها شامل یک یا چند دندان‌مصنوعی (پونتیک) هستند که به دو تاج دندانی متصل می‌شوند. این تاج‌ها روی دندان‌های طبیعی کناری (دندان‌های پایه) قرار می‌گیرند و بریج را در محل نگه می‌دارند. برای نصب بریج‌های سنتی، لازم است دندان‌های پایه تراشیده شوند تا تاج‌های دندانی روی آن‌ها قرار گیرند. بریج‌های دندانی سنتی معمولاً از مواد مختلفی مانند فلز، سرامیک یا ترکیبی از هر دو ساخته می‌شوند و می‌توانند ظاهر و عملکرد دندان‌های طبیعی را بازسازی کنند.

  • بریج‌های مریلند:

در بریج مریلند، دندان‌مصنوعی (پونتیک) توسط بالچه‌های فلزی یا سرامیکی به دندان‌های طبیعی کناری متصل می‌شود. این بالچه‌ها به پشت دندان‌های پایه چسبانده می‌شوند؛ بنابراین نیازی به تراشیدن دندان‌های طبیعی نیست. بریج‌های مریلند برای مناطق کم‌فشار دهان مانند دندان‌های جلویی، مناسب هستند و گزینه‌ای محافظه‌کارانه‌تر نسبت به بریج‌های سنتی محسوب می‌شوند.

 

  • بریج‌های دندانی با ایمپلنت:

بریج‌های دندانی با ایمپلنت، نوعی بریج هستند که به‌جای دندان‌های طبیعی به ایمپلنت‌های دندانی متصل می‌شوند. ایمپلنت‌ها پست‌های فلزی هستند که در استخوان فک قرار می‌گیرند و به‌عنوان ریشه‌های مصنوعی عمل می‌کنند. در بریج دندان با ایمپلنت، نیازی به تراشیدن دندان‌های طبیعی نیست و این نوع بریج با ارائه پایه‌ای محکم و پایدار، عملکرد و ظاهر دندان‌های طبیعی را به‌خوبی بازسازی می‌کند. بریج‌های دندانی با ایمپلنت، معمولاً دوام و ماندگاری بالاتری نسبت به بریج‌های سنتی دارند.

 

بریج‌های دندانی با ایمپلنت
بریج‌های دندانی با ایمپلنت

 

  • بریج دندان کنسولی:

بریج‌ دندان کنسولی نوعی بریج است که در آن، دندان‌مصنوعی (پونتیک) فقط به یک دندان طبیعی پایه متصل می‌شود؛ برخلاف بریج‌های سنتی که به دو دندان پایه متصل می‌شوند. بریج دندان کنسولی، معمولاً زمانی استفاده می‌شود که فقط یک دندان طبیعی در کنار فضای خالی موجود باشد. این نوع بریج برای مناطقی با فشار کمتر مانند دندان‌های جلویی مناسب‌تر است.

 

  • بریج کامپوزیت:

بریج‌های دندانی کامپوزیت، نوعی بریج موقتی هستند که برای جایگزینی موقت دندان‌های ازدست‌رفته استفاده می‌شوند. این بریج‌ها از مواد کامپوزیتی (رزین) ساخته می‌شوند و توسط چسب دندانپزشکی به دندان‌های طبیعی مجاور متصل می‌شوند. بریج‌های کامپوزیت به دلیل سادگی و سرعت نصبشان، اغلب به‌عنوان راه‌حلی موقتی قبل از انجام روش‌های دائمی‌تر مانند: ایمپلنت یا بریج‌های دائمی استفاده می‌شوند. این بریج‌ها مقرون‌به‌صرفه‌تر هستند اما دوام و مقاومت کمتری نسبت به بریج‌های دندان دائمی دارند.

 

مراحل کاشت بریج دندان:

کاشت بریج دندان معمولاً در دو جلسه انجام می‌شود که در ادامه هر دو مرحله را شرح خواهیم داد:

جلسه اول:

ابتدا دندان‌پزشک وضعیت دهان و دندان بیمار را به‌طور کامل معاینه کرده و از دندان‌های او عکس‌برداری می‌کند. طی این مرحله، دندان‌های پایه (دو دندان سالم مجاور محل خالی) تراشیده می‌شوند تا برای قراردادن روکش‌ها آماده شوند. سپس از دندان‌های تراشیده شده و محل خالی قالب‌گیری می‌شود تا روکش‌ها و دندان‌مصنوعی بریج ساخته شوند. در نهایت، بریجی موقت بر روی دندان‌های تراشیده شده قرار داده می‌شود تا از آن‌ها در برابر عوامل مضر دهان و دندان محافظت کند و ظاهر بیمار را تا زمان نصب بریج دائمی حفظ نماید.

 

مراحل کاشت بریج دندان
مراحل کاشت بریج دندان

 

جلسه دوم:

 در جلسه دوم، روکش‌ها و دندان‌مصنوعی بریج که در لابراتوار دندانسازی ساخته شده‌اند، توسط دندانپزشک بررسی می‌شوند تا از نظر اندازه و تناسب دقیق باشند. پس از بررسی، بریج دندان دائمی به‌طور دقیق بر روی دندان‌های پایه چسبانده می‌شود و در پایان دندانپزشک با انجام معاینات نهایی از عملکرد و تناسب صحیح بریج دندان اطمینان حاصل می‌کند.

 

مزایای استفاده از بریج‌های دندان:

بریج دندان، راه‌حلی جایگزین برای دندان‌های ازدست‌رفته است که مزایای متعددی را برای سلامتی و زیبایی دهان و دندان به ارمغان می‌آورد. در ادامه به برخی از مهم‌ترین این مزایا اشاره می‌کنیم:

 

  • بازیابی عملکرد دهان:

بریج دندان با جایگزینی دندان‌های ازدست‌رفته به بیماران کمک می‌کند تا بتوانند به‌طور طبیعی و راحت غذا را بجوند. این پروتزها با پر کردن فضای خالی بین دندان‌ها، تلفظ صحیح کلمات را آسان‌تر می‌کنند و از ایجاد مشکلاتی همچون لکنت‌زبان جلوگیری می‌نمایند. همچنین بریج دندان‌ به حفظ ساختار طبیعی دهان و صورت کمک نموده و از فروریختگی عضلات صورت و چین و چروک‌های زودرس جلوگیری می‌کند.

 

مزایای استفاده از بریج‌های دندان
مزایای استفاده از بریج‌های دندان

 

  • زیبایی لبخند:

بریج‌های دندانی به‌گونه‌ای ساخته می‌شوند که ظاهری طبیعی و هم‌رنگ با دندان‌های مجاور بیمار داشته باشند و زیبایی لبخند او را به‌طور کامل بازگردانند. داشتن لبخند با ظاهری طبیعی، اعتمادبه‌نفس افراد را در روابط اجتماعی و شغلی افزایش می‌دهد.

 

  • سلامت دهان و دندان:

بریج‌های دندانی با پر کردن فضای خالی بین دندان‌ها، از جابه‌جایی و کج‌شدن دندان‌های مجاور به سمت فضای خالی جلوگیری می‌کنند. این پروتزها با توزیع یکنواخت نیروهای جویدن، از فشار بیش‌ازحد روی لثه‌ها و آسیب به آن‌ها جلوگیری می‌نمایند. نظافت بریج‌های دندانی به‌سادگی مسواک‌زدن و نخ دندان کشیدن دندان‌های طبیعی است و با مراقبت‌های مناسب، می‌توانند تا 10 سال یا بیشتر دوام بیاورند.

 

معایب استفاده از بریج‌های دندانی:

درست است که بریج‌های دندان می‌توانند راه‌حلی مناسب برای جایگزینی دندان‌های ازدست‌رفته باشند اما همانند هر روش درمانی، معایبی نیز دارند که باید قبل از انجام این درمان در نظر گرفته شوند. برخی از مهم‌ترین معایب استفاده از بریج دندان عبارت‌اند از:

 

معایب استفاده از بریج‌های دندانی
معایب استفاده از بریج‌های دندانی

 

  • تراشیدن دندان‌های سالم:

برای نصب بریج‌های سنتی، لازم است که دندان‌های سالم مجاور محل خالی تراشیده و آماده شوند تا به‌عنوان پایه برای بریج عمل کنند. این موضوع می‌تواند به مینای دندان آسیب برساند و در نهایت منجر به پوسیدگی یا ازدست‌رفتن دندان در آینده شود.

 

  •  آسیب به دندان‌های مجاور:

همان‌طور که اشاره شد، بریج‌های مریلند نوعی بریج هستند که به‌جای تراشیدن دندان‌های مجاور از بالچه‌های فلزی برای پشتیبانی استفاده می‌کنند. بااین‌حال، این بالچه‌های فلزی می‌توانند به‌مرورزمان به ریشه دندان آسیب برسانند و باعث تحلیل‌رفتن استخوان گردند.

 

  •  پیچیدگی و هزینه بالا:

نصب بریج‌های دندان با ایمپلنت، فرآیندی پیچیده‌تر و پرهزینه‌تر از بریج‌های سنتی است. این موضوع به دلیل نیاز به جراحی برای کاشت ایمپلنت در فک است.

 

عدم تحریک استخوان فک
عدم تحریک استخوان فک

 

  • عدم تحریک استخوان فک:

برخلاف ایمپلنت‌های دندانی که ریشه مصنوعی دارند و می‌توانند به تحریک و حفظ تراکم استخوان فک کمک کنند، بریج‌های دندانی این کار را انجام نمی‌دهند. این موضوع می‌تواند منجر به تحلیل‌رفتن استخوان فک در ناحیه‌ قرارگرفتن بریج شود.

 

  •  طول عمر محدود:

بریج‌های دندانی با مراقبت‌های مناسب می‌توانند تا 10 سال یا بیشتر دوام بیاورند. بااین‌حال، به‌طورکلی دوام آن‌ها نسبت به ایمپلنت‌های دندانی که می‌توانند تا آخر عمر باقی بمانند، کمتر است.

 

  •  مشکلات احتمالی:

در برخی شرایط نیز ممکن است بریج‌ها دچار مشکلاتی مانند: لق شدن، شکستگی یا عفونت لثه شوند.

 

تفاوت‌های کلیدی بریج دندان و ایمپلنت
تفاوت‌های کلیدی بریج دندان و ایمپلنت

 

تفاوت‌های کلیدی بریج دندان و ایمپلنت:

بریج دندان و ایمپلنت دندان، هر دو روش‌هایی برای جایگزینی دندان‌های ازدست‌رفته هستند اما تفاوت‌های اساسی در نحوه عملکرد، مزایا و معایب آن‌ها وجود دارد که در ادامه مهم‌ترین تفاوت‌های این دو روش را بررسی خواهیم کرد:

 

1. نحوه عملکرد:

ایمپلنت ریشه مصنوعی دارد و با جنس تیتانیوم در استخوان فک کاشته می‌شود و جایگزین ریشه دندان ازدست‌رفته می‌باشد اما بریج دندان، نوعی پروتز ثابت است و به دو دندان سالم مجاور محل خالی متصل می‌شود و می‌توان از هر چند دندان‌مصنوعی که لازم باشد برای پر کردن فضای خالی استفاده کرد.

 

2. ساختار:

ایمپلنت از سه قسمت اصلی: فیکسچر (ریشه)، اباتمنت (رابط) و تاج دندانی تشکیل شده است اما بریج دندان شامل: چند دندان‌مصنوعی و روکش‌هایی برای دندان‌های پایه می‌باشد.
 

3. نحوه نصب:

ایمپلنت با جراحی در استخوان فک کاشته می‌شود و به چند ماه زمان برای بهبودی نیاز دارد؛ در شرایطی که بریج نهایتاً طی دو جلسه بدون نیاز به جراحی نصب می‌شود.

 

لبخند زیبا و جذاب با جادوی بریج دندان
لبخند زیبا و جذاب با جادوی بریج دندان

 

4. تأثیر بر دندان‌های مجاور:

ایمپلنت به دندان‌های مجاور آسیبی نمی‌رساند اما برای نصب بریج، باید دندان‌های سالم مجاور تراشیده شوند.

 

5. تحریک استخوان فک:

ایمپلنت‌ها همانند دندان‌های طبیعی عمل می‌کنند و به تحریک و حفظ تراکم استخوان فک کمک می‌کنند. از سوی دیگر، بریج دندان به تحریک استخوان فک کمک نمی‌کند و می‌تواند منجر به تحلیل‌رفتن آن در ناحیه‌ قرارگرفتن بریج شود.

 

6. ظاهر:

ایمپلنت، ظاهری کاملاً طبیعی و شبیه به دندان‌های واقعی دارد و به بیمار امکان می‌دهد که بدون مشکل غذایش را بجود و صحبت کند. بریج دندان با مراقبت‌های مناسب می‌تواند ظاهری طبیعی داشته باشد اما به‌مرورزمان ممکن است رنگش تغییر کند و همچنین به‌اندازه ایمپلنت‌ها قوی و بادوام نباشد و از بین برود.

 

7. طول عمر:

از نظر دوام ایمپلنت‌ها با مراقبت‌های مناسب می‌توانند تا آخر عمر دوام بیاورند اما بریج دندان حتی با مراقبت‌های درست نیز حدود 10 سال یا کمی بیشتر دوام می‌آورد.

 

8. هزینه:

ایمپلنت‌ها به‌طورکلی گران‌تر از بریج‌های دندانی هستند.

 

9. شرایط منع مصرف:

بریج‌های دندان معمولاً برای اکثر افراد مناسب هستند، غیر از افرادی که تراکم استخوان کافی در فک نداشته باشند؛ درحالی‌که ایمپلنت برای هر فردی مناسب نیست. افراد مبتلا به برخی بیماری‌ها یا شرایط خاص ممکن است کاندید مناسبی برای ایمپلنت نباشند.

 

شرایط منع مصرف بریج دندان
شرایط منع مصرف بریج دندان

 

سخن آخر:

جایگزینی دندان‌های ازدست‌رفته، نقشی اساسی در حفظ سلامت دهان و دندان، زیبایی ظاهری و عملکردهای طبیعی مانند: جویدن و صحبت‌کردن ایفا می‌کند. دو روش رایج برای جایگزینی دندان‌های ازدست‌رفته، بریج و ایمپلنت دندان می‌باشند که هر کدام از این روش‌ها، مزایا و معایب خاصی دارند و انتخاب بهترین روش به بسیاری از عوامل از جمله: وضعیت دهان و دندان، سلامت کلی، بودجه و ترجیحات شخصی بیماران بستگی دارد. بنابراین قبل از هر اقدامی در خصوص استفاده از این دو روش، باید با دندانپزشک‌ مشورت کافی داشت.

پشتیبانی

9 الی 13 - 17 الی 21